您知道什么是药物性胆囊结石吗?今天,就带您揭开它“来无影去无踪”的神秘面纱。
胆囊结石,常见又复杂
说起胆囊结石,您可能并不陌生。它是一种在胆囊内形成的固体物质,主要成分有胆固醇、胆色素等。平常大多数的胆囊结石,一旦形成,就像“钉子户”一样,很难自行消失,常常需要医学干预,比如:手术切除胆囊或者取石。

药物性胆囊结石,不一样的存在
但药物性胆囊结石却与众不同。它是由于某些药物的使用,导致胆囊内胆汁成分改变,从而促使结石形成。而在停用相关药物后,这些结石有可能自行消失。

哪些药物会引发胆囊结石?
1、头孢曲松:这是一种常用的抗生素。它在体内的代谢产物会与胆汁中的钙离子结合,形成不溶性钙盐,进而沉淀聚集,慢慢形成结石。
2、降脂药:像某些他汀类降脂药,在降低血脂的过程中,会改变胆汁中胆固醇的饱和度,使胆固醇更容易析出结晶,最终形成结石。
3、避孕药:长期服用避孕药的女性,体内激素水平发生变化,影响胆汁的分泌和排泄,增加了药物性胆囊结石的发病风险。
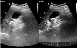
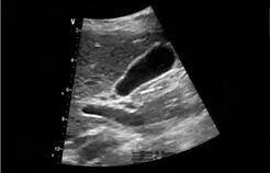
如何发现药物性胆囊结石?
彩超是发现药物性胆囊结石的重要手段。在彩超图像上,它和普通胆囊结石表现相似,都能看到胆囊内的强回声团,后方伴有声影。不过,医生在诊断时会综合患者的用药史、症状等进行判断。比如患者近期有使用上述可疑药物,又出现右上腹疼痛、恶心等不适,检查发现胆囊结石,就会高度怀疑是药物性胆囊结石。
发现药物性胆囊结石怎么办?
如果确诊为药物性胆囊结石,首先要停用可能导致结石形成的药物。多数情况下,停药后随着胆汁成分逐渐恢复正常,结石会慢慢溶解、消失。在这个过程中,医生会建议定期复查彩超,观察结石的变化情况。同时,患者要注意饮食清淡,避免吃油腻、高胆固醇的食物,减轻胆囊负担。
药物性胆囊结石虽然来无影去无踪,但只要我们了解它的成因,借助彩超等检查手段及时发现,积极采取正确的处理措施,就不用过于担忧。
རྩོམ་ཞུས། ཤིན་ཞའོ་ཀོང་།
审 核:辛晓光
རྩོམ་ཁུངས། བྱེད་ལས་ཚན་ཁག
供 稿: 功能科
རྩོམ་སྒྲིག དྲིལ་སྒྲོག་འཐབ་གཅིག་ཚན་ཁག
编 辑: 宣传统战科
